 
										
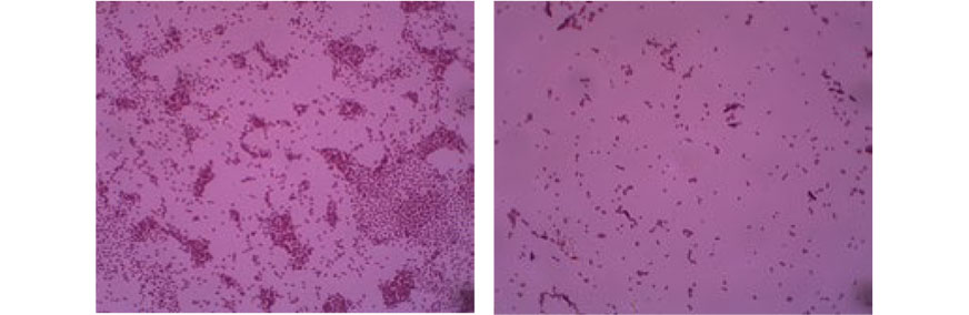
Rys. 3. Zdjęcia mikroflory występującej w pracującym KBT.
Damian Kasperczyk
Ekoinwentyka Sp. z o.o., Szyb Walenty 26, 41-707 Ruda Śląska, Poland, tel. +48 32 7895141, e-mail: biuro@ekoinwentyka.pl
Krzysztof Barbusiński
Politechnika Śląska, Wydział Inżynierii Środowiska i Energetyki, Zakład Technologii Wody i Ścieków
Krzysztof Urbaniec
Warsaw University of Technology, Plock Branch, Jachowicza 2/4, 09-402 Plock, Poland
LITERATURA
1. Aydin Berenjian, 1Natalie Chan and 2Hoda Jafarizadeh Malmiri: “Volatile Organic Compounds Removal Methods: A Review”, American Journal of Biochemistry and Biotechnology, 2012, 8 (4), 220-229
2. Cox, H.H.J. and M.A. Deshusses, 1998. Biological waste air treatment in biotrickling filters. Curr. Opin. Biotechnol., 9: 256-62. DOI: 10.1016/S0958-1669(98)80056-6
3. Doble, M. and A. Kumar, 2005. Biotreatment of Industrial Effluents. 1st Edn., Butterworth-Heinemann, ISBN-10: 0750678380, pp: 336.
4. Beissner R.S, I in.,. “Synthesis of brominated heptanones and bromoform by a bromoperoxidase of marine origin”. Biochemistry. 1981 Jun 23;20(13):3724-31.
5. Dane internetowe: http://eawag-bbd.ethz.ch/dcm/dcm_map.html; Betsy M. Martinez-Zayas and completed by Ryan McLeish, University of Minnesota, 2017
6. Freedman D.L., Gosset J.M.: “Biodegradation of Dichloromethane and Its Utilization as a Growth Substrate under Methanogenic Conditions”, APPLIED AND ENVIRONMENTAL MICROBIOLOGY, Oct. 1991, p. 2847-2857
7. Trusek – Holownia A.: „Układy homo- i heterogeniczne w biodegradacji lotnych związków organicznych” Inż. Ap. Chem. 2009, 48, 3, 117-118









 
										
									 
											
										 
											
										 
											
										 
											
										 
											
										 
								
